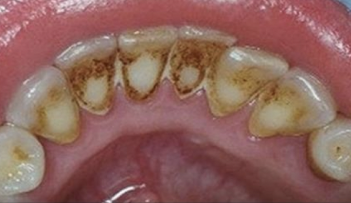
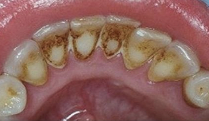
Калкулусот е минерализиран дентален плак и се формира со таложење на минерални соли во денталниот плак

Клучот за правилна превенција на забен камен е исхраната, оралната хигиена и хидратацијата. Правилната и редовна орална хигиена е единствениот сигурен начин да спречите формирање на наслаги и забен камен на вашите заби.

Миењето заби треба да трае најмалку две минути. Нанесете го два пати на ден, наутро и навечер пред спиење. Користете мека или средно тврда четка за заби и паста за заби што содржи 1450 ppm флуор.

Исто така, движењата на четкањето мора да бидат горе-долу на предната површина на забите, горните заби. Не заборавајте на внатрешната површина на забот, онаа што е до јазикот или непцето. Дополнителни средства за орална хигиена се забен конец, интердентални четки и пластични чепкалки за заби.

Advertisement

Исхраната треба да биде што е можно поразновидна, богата со овошје, зеленчук, мешунки и јаткасти плодови. Избегнувајте мека храна и храна богата со шеќери, фабрички преработена храна, грицки и слатки.

Пијте доволно вода во текот на денот, најмалку 1,5 до 2 литри. Избегнувајте газирани, негазирани сокови и енергетски пијалоци. Конзумирајте кафе, чај, вино и други обоени пијалоци умерено. Ти ги бојат забите.

Advertisement